Alternativa de titânio é mais segura que o aço e garante mais qualidade de vida a pacientes com problema congênito; cirurgia pioneira foi realizada no Hospital Marcelino Champagnat, em Curitiba.

(Foto: Divulgação)
Um afundamento assimétrico no tórax quando o adolescente Luiz Henrique Baggio tinha oito anos acendeu o sinal de alerta da mãe Ana Júlia Melo. “Além do incômodo estético, bateu uma preocupação muito grande sobre quais problemas de saúde esse ‘buraco’ poderia acarretar. Depois de consultas com especialistas veio o diagnóstico: Luiz tinha um problema congênito conhecido como pectus excavatum“, recorda a mãe.
Estima-se que uma a cada 200 pessoas no Brasil convive com essa condição, também conhecida como “peito de sapateiro”, que é provocada quando as cartilagens do tórax crescem demais e provocam o afundamento do esterno entre as costelas, deixando uma cavidade que compromete a estética do tórax.
Mais comum em meninos, ela costuma se manifestar no pico de desenvolvimento do corpo, entre 8 e 14 anos, e pode causar problemas cardiovasculares e psicológicos, já que a deformidade no peito fica acentuada na fase de crescimento e de formação da personalidade.
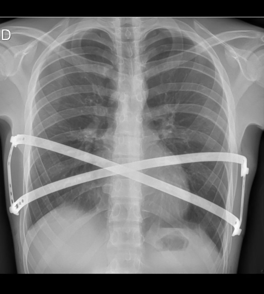
Inovação
Segundo o cirurgião torácico do Hospital Marcelino Champagnat, Gustavo Higa Ogawa, que acompanha o caso do Luiz há quatro anos, além da deformidade, o problema causava dor torácica, cansaço excessivo e palpitação. “Optamos pela cirurgia só agora porque, com 15 anos, ele já está com a caixa torácica mais desenvolvida, e surgiram novas técnicas cirúrgicas e novos materiais da barra utilizada para posicionar o esterno”, explica.
“Até o ano passado, o único material disponível para a cirurgia de Nuss, era importado e feito de aço, o que podia trazer complicações pelo deslocamento da barra metálica no corpo. Recentemente, uma fábrica brasileira começou a produzir a barra com titânio. Ela é curva e moldada conforme a deformidade de cada paciente, mas o titânio é um material sem contraindicações, já que é livre de níquel e de outros metais que podem provocar problemas no organismo, como alergias. O material é retirado após dois anos da cirurgia”, complementa Ogawa.

Novo material, novas esperanças
A cirurgia de Nuss, realizada no Hospital Marcelino Champagnat, durou cerca de quatro horas. O ineditismo do procedimento ficou por conta do material utilizado – titânio -, que praticamente elimina a possibilidade de deslocamento das barras metálicas e proporciona resultado anatômico de correção melhor.
O cirurgião torácico do Incor (Instituto do Coração), Miguel Tedde, participou da cirurgia de Luiz Henrique e do desenvolvimento do novo material utilizado na técnica. Inicialmente, foram testados seis modelos diferentes da barra – a tradicional, que é importada, e outras cinco com pequenas inovações, desenvolvidas em uma parceria com uma empresa do interior paulista.
“O aço foi trocado por titânio e o serrilhado que existia para ajustar o fio de aço passou a ser desnecessário, o que deve facilitar a retirada da barra. Outra novidade incorporada aqui no Brasil é a chamada técnica sanduíche: em vez de uma única barra de metal empurrando o esterno para fora, utilizamos duas. Uma fica embaixo e a outra por cima desse osso e ambas estão ligadas entre si, eliminando a possibilidade de deslocamento”, conta Tedde.
Novos planos
Após quinze dias da realização da cirurgia, Luiz Henrique já sentiu que a respiração melhorou consideravelmente e agora está esperando a liberação para voltar a jogar basquete com os amigos, uma das suas paixões. “Antes, ele se sentia muito cansado durante os jogos, além do constrangimento de tirar a camisa na frente dos outros. Agora, tudo isso vai ficar no passado”, comemora Ana Julia.

